Susceptibility artifact correction.Scanned objects have variable magnetic susceptibility, leading to a complex pattern of field inhomogeneities. These cause image distortions and dropout in most diffusion and fMRI acquisitions, with consequences for estimation of connectivity. We have developed new methods for data acquisition and processing that minimize these artifacts and optimize our ability to reduce them further in the data processing.
In the case of diffusion this includes acquisitions that utilize multiple phase-encode directions, moving the artifacts around the image before being recombined. In the case of fMRI, we are utilizing parallel imaging to minimize the distortions, in conjunction with the acquisition of separate fieldmaps to measure the perturbed magnetic field, allowing correction at the data processing stage.
Figure 1: Example 3T diffusion data collected with two phase encoding directions, combined to give undistorted data.
Eddy-current and head-motion correction. Strong and rapidly switched diffusion gradients cause scaling and shear in the phase-encode direction, and translations that may vary with slice position. Standard approaches for correction can be inaccurate given the low SNR of raw diffusion data, particularly at high b-values. We have developed new methods to ameliorate this by estimating eddy current and head motion effects simultaneously with prediction of the data for each of the different diffusion directions.
Other MRI and physiological artifacts. Other artifacts such as RF field inhomogeneities, gradient nonlinearities, EPI ghosting, spiking and chemical shift are being minimized during acquisition using standard techniques and further reduced where necessary in data processing. Residual ghosting and spiking in fMRI are being identified and removed using methods such as independent component analysis. Physiological effects such as cardiac pulsation, breathing-related artifacts and residual head motion effects are being minimized through a combination of model-based and data-driven methods.
Quality control. In addition to specific methods for artifact removal, we are implementing a fully automated analysis pipeline for general QC, which are being executed by ConnectomeDB immediately after data upload. We are utilizing low-level tools that are integrated into our automated pipeline, such as linear and nonlinear registration, brain-extraction, and tissue-type segmentation, to automatically detect/correct problematic data. We are generating summary statistics on both signal-to-noise ratio and contrast-to-noise ratio, and comparing with established norms, to provide immediate warning of hardware problems. We are also generating QC tests that will be applied to data further along the processing pipeline, to give further indications of outlier data sets.
Anatomically constrained analysis and visualization. We are using segmentations and cortical surface models derived from high quality T1-weighted data to underlie much of the analysis and visualization of all modalities. We have established a pipeline that begins with a T1 image and ends with cortical surface models and subcortical segmentation. We are therefore able to combine data across subjects both in 3D standard space and on 2D ‘standard-mesh’ surfaces.

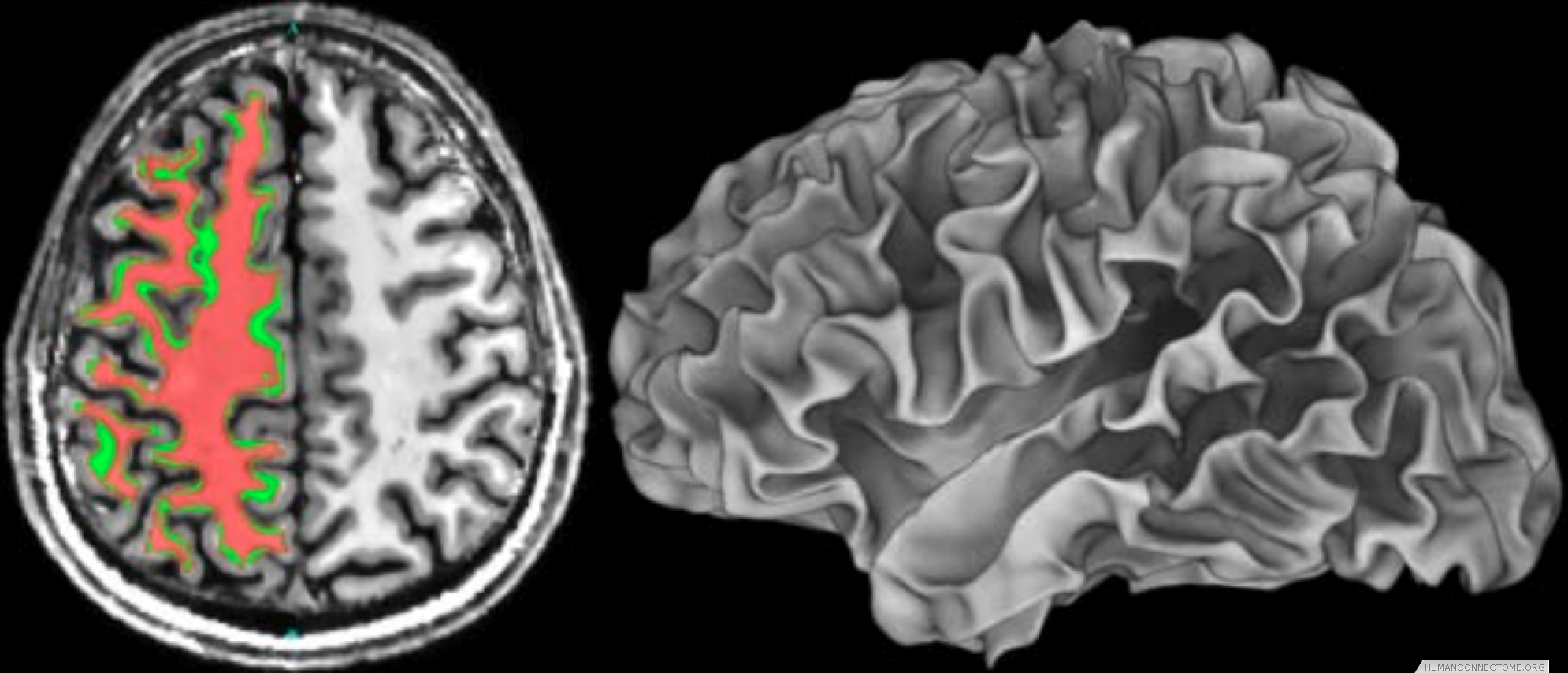
Figure 2: Left: Example T1-weighted image acquired at 7T with white matter segmentation overlaid. Right: White matter surface rendering.
The member universities of the Human Connectome Project take privacy very seriously, whether dealing with participant data or the data of those visiting this website.
The participant data from our research into the Human Connectome that is stored in our XNAT server is de-identified, and contains no personal health information (PHI).
Our website collects names and email addresses via our contact form. This information is used solely by the administrators and members of the HCP website and is not shared, traded or sold to third parties under any circumstances.
Our website may also collect non-personal data about site visits, sessions, and IP addresses. This information is only used for diagnostic or debugging purposes, to help us optimize our website's performance, and is not shared externally. This is a standard practice for most websites, and this data is never linked with personally identifiable information.
This website contains links to other websites whose content we think is relevant. However, the HCP website is not responsible for maintaining or updating the content of these other sites. If any of these sites are found to contain irrelevant or offensive information, please contact us.
By using humanconnectome.org, you signify your agreement to our privacy policy as stated above. Note that this policy may be revised periodically without notice. Please re-read this policy prior to submitting any personal information if you have concerns about how your information is being collected and used.